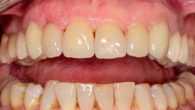
Facettes dentaires
La dentisterie restauratrice est constituée par l'ensemble des traitements utilisés pour ramener les dents cariées ou endommagées à la santé ainsi qu'à une apparence naturelle. La pose de facettes que réalise notre CENTRE DENTAIRE SAFI SMILE, fait partie de ces traitements de restauration. Les facettes dentaires sont de minces coquilles qui couvrent le devant des dents. Elles corrigent le contour, la teinte et la dimension des dents de devant pour améliorer l'apparence de votre sourire. En général, deux rendez vous sont nécessaires pour réaliser cette opération.
Une fois les facettes posées, le traitement est irréversible, puisque l'on a enlevé une partie de l'émail dentaire avant la pose. Si une facette posée craque, tombe, ou si une carie se développe sous celle-ci, le traitement doit être refait. D’autres options pourraient être envisagées en fonction de l’état de la dent traitée. Nous vous proposerons des solutions adaptées. Dans tous les cas de figure, le patient doit être vigilant lors de la consommation d'aliments durs et éviter de mordre de la glace ou de se ronger les ongles. Tout comme pour les dents naturelles, il faut se brosser les dents avec des facettes deux fois par jour et y passer quotidiennement le fil dentaire.
Facettes pelliculaires
Ces facettes sont des pellicules ultraminces en céramique qui sont posées sur le devant des dents et qui peuvent ainsi corriger de très nombreuses imperfections esthétiques. Ces facettes offrent ainsi une solution permanente aux fortes décolorations, aux écartements, aux dents abîmées et aux dents qui sont mal alignées.

La gamme proposée par LE CENTRE DENTAIRE SAFI SMILE a été développée pour répondre à une demande croissante de patients non satisfaits par les résultats obtenus par le blanchiment dentaire, mais également rebutés par le coût des facettes traditionnelles. Sur la base de statistiques des formes de dents naturelles et teintes les plus utilisées, a été développée une large gamme de facettes pelliculaires céramique standardisées par des fabricants de renom. Ces facettes se présentent dans des coffrets aux combinaisons multiples tant en formes que tailles et teintes dont nos praticiens pourront disposer à discrétion et sans délai au sein de notre centre dentaire.

